Диагностика токсоплазмоза у кошек
Диагностика токсоплазмоза проводится в двух случаях.
Во-первых, если ветврач при осмотре животного с недомоганием заподозрил именно это заболевание.
Во-вторых, по желанию владельца, что обычно происходит в период подготовки владелицы к беременности или при ее наступлении.
Хотя в некоторых ветклиниках диагноз «токсоплазмоз» у кошек встречается часто, доказанные случаи этой болезни есть в послужном списке не всякого ветврача: это объясняется тем, что чаще всего болезнь протекает бессимптомно.
Бывает, гинекологи пугают беременных токсоплазмозом и его последствиями, и настаивают на избавлении от домашних любимцев. Рассмотрим ситуации, когда это действительно необходимо, ведь внутриутробный токсоплазмоз крайне опасен для плода и приводит к тяжелым неизлечимым уродствам.
При беременности и в период подготовки к ней женщинам проводят анализы, которые позволяют установить, болели ли они токсоплазмозом. Для этого берут кровь и оценивают в ней наличие и количество (титр) иммуноглобулинов А и G. G – «медленные» глобулины, они образуются в период острого переболевания и остаются в крови надолго, часто – на всю жизнь. Если они есть, плод вне опасности. Иммуноглобулины A – белки острой фазы инфекционного заболевания, они возникают тогда, когда болезнь в разгаре и организм с ней борется
Если ни тех, ни других иммуноглобулинов не обнаружено, значит, человек никогда не сталкивался с токсоплазмой, и в этом случае беременной нужно быть осторожной: для будущего ребенка крайне опасно именно первое переболевание
Для кошек наиболее информативный анализ на токсоплазмоз – исследование крови на иммуноглобулины M и G.
Иммуноглобулины M образуются в крови через 1-2 недели после заражения. Их титр для больного животного будет составлять 1:64 и более, и должен постепенно снижаться в течение 3-4 месяцев. Если этот показатель остается высоким, значит либо животное постоянно получает откуда-то новые порции цист и повторно заражается, либо у него плохо работает иммунная система. Это может происходить из-за некоторых вирусных инфекций, применения отдельных лекарств (например, преднизолона), онкологических заболеваний и по многим другим причинам.
Иммуноглобулины G и М одновременно могут определяться, если переболевшее ранее животное повторно заразилось токсоплазмой либо если животное заразилось довольно давно, и эти антитела уже начали вырабатываться. В таком случае титр иммуноглобулинов М будет со временем снижаться, а G – нарастать или оставаться на том же уровне.
Иммуноглобулины G обнаруживаются в крови переболевших животных. Они появляются через 3 недели и затем титр нарастает. Проверяют нарастание титра через 2-3 недели, за это время он должен увеличиться в 4 раза и более.
Таким образом, метод ИФА позволяет ответить на вопрос, болело ли животное токсоплазмозом, очень точно, но диагностика занимает долгое время.
ИФА позволяет ответить, встречалось ли животное с токсоплазмой, заражено ли сейчас, но не ответит на вопрос, связана ли болезнь животного с токсоплазмозом.
Однако если у кошки обнаружены иммуноглобулины А, то нужно соблюдать минимальную осторожность, о которой мы расскажем в разделе «Профилактика». Такой результат означает, что когда-то животное переболело
Хотя хронический токсоплазмоз кошки для представителей других видов совершенно не опасен, необходимо не допускать повторного заражения животного.
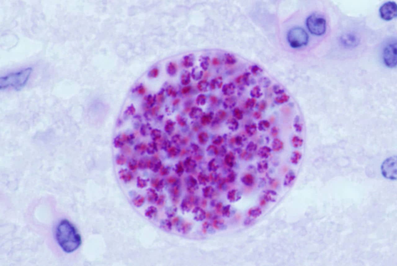
Применяют цитологическое исследование выпотной жидкости, ликвора, слизи и других жидкостей, полученных путем смывов или тонкоигольной биопсии. Диагноз токсоплазмоза устанавливается только если обнаружена активно делящаяся форма токсоплазм.
Вам могут предлагаться другие анализы на токсоплазму. Например, анализ кала – микроскопия, ИФА или ПЦР. Но в этом случае нужно сдавать пробы минимум троекратно, поскольку паразит не всегда выделяет цисты. А кроме того, даже в удачно взятой пробе возможны ложноотрицательные результаты. ПЦР мазков или крови на токсоплазму позволит выяснить, есть ли образцы ДНК токсоплазмы в конкретных тканях, взятых из конкретного места, а не больна ли кошка токсоплазмозом. То же касается и микроскопии мазков. Оба способа – прямой путь к получению ложноотрицательного результата. Так что не тратьте понапрасну время и деньги и сдавайте кровь на ИФА.
Диагноз токсоплазмоз устанавливается кошке, когда:
- у нее есть симптомы этой болезни;
- у нее есть иммуноглобулины М или наблюдается рост титра иммуноглобулинов G;
- животному стало лучше после применения лекарств, воздействующих на токсоплазм, или удалось выделить возбудителя в фазе активного деления.
В клинической практике диагноз токсоплазмоз устанавливается редко.
Что такое токсоплазмоз
Так называют заражение организма внутриклеточными паразитами, именуемыми Токсоплазмой. По статистике, до 25% мясных изделий на прилавках содержат токсоплазму. Переносчиками могут быть животные, птицы, люди: 50% животных, 30% и более (в зависимости от региона — до 90%) людей являются переносчиками микробов. Но больше всего токсоплазмы любят селиться в кошках, и ниже мы расскажем, почему.
Периоды жизни токсоплазмы
Изначально паразит находится в спящем состоянии в окружающем нас мире: воде, земле, на улице, откуда попадает в наше жилище на обуви. Также кошка может съесть зараженную мышь, кусочек сырого мяса, или слизать микроба со своей шерсти.

Успешно проникнув в кошачий организм, микробы стремятся поскорее добраться до тонкого кишечника кошки. Далее происходит развитие микроба до цисты (так называют промежуточное состояние микроорганизмов) и последующее их размножение внутри клеток животного. Сами клетки в итоге умирают, а цисты выходят наружу вместе с калом кошки, и распространяются дальше, захватывая новые организмы.
Ещё спустя 14-30 дней выделение паразитов наружу прекращается, они перестают покидать организм кошки, концентрируясь на его захвате. Получается, что заразиться токсоплазмозом от кошки можно лишь в определенный промежуток времени: спустя 2-3 недели после ее заражения, и в течение 14-30 дней.
Захват организма кошки происходит по следующему плану: сначала проникновение в селезенку через кишечник, затем красный костный мозг, где размножаются, и через кровь попадают во все органы. Но процесс этот не такой уж гладкий для паразита: на борьбу с ним выходит имунная система. Токсоплазма способна полностью захватить только кошку с ослабленным иммунитетом: старой, больной или совсем юной. В ином случае защитные силы организма прекратят свободное перемещение паразита, заморозят или остановят его размножение. Токсоплазмы будут заключены в клетках как цисты в течение нескольких лет в ожидании своего часа, никак не напоминая о себе.
Токсоплазмоз у кошек
Главная особенность кошачьего токсоплазмоза в том, что кошки — единственная целевая аудитория паразита. В организме представителей усатого семейства микроб себя отлично чувствует и размножается, а попадая в окружающую среду через кал, разносится дальше. Все остальные виды — не более, чем переносчики.
Размножение паразита в организме кошки происходит в тонком отделе кишечника, откуда он легко попадает в кал и распространяется дальше — через почву и воздух, попадает в корма к сельскохозяйственным животным, а через их мясо — к новым кошкам.
Ветеринары однозначно заявляют, что токсоплазмоз у кошек нужно обязательно лечить. Этот процесс занимает от 7 дней до года. Если у вас животное с крепким иммунитетом, то лечение обойдется недорого и не займет много времени, а с кошками, видавшими жизнь, всё может оказаться сложнее.
Влияние токсоплазм на человека
В человеческом организме токсоплазмы оказываются запертыми внутри клеток, никак не влияя на самочувствие или здоровье, если не нарушен иммунитет. Но стоит заметить, что до конца влияние паразита на человека не изучено.
У людей с недостаточным иммунитетом при заражении паразитами могут проявляться те же симптомы, что и при простуде — расширенные лимфоузлы, температура, ослабленное состояние, ломота мышц.
Токсоплазмоз при беременности у женщин
Для организма матери паразит безвреден, но не для эмбриона человека. Врачи сходятся во мнении, что токсоплазма может быть смертельно опасной для плода, спровоцировать выкидыш или вызвать патологии у будущего ребенка.
Нужно ли избавляться от кошки беременной женщине? Зависит от того, были ли микробы ранее в организме матери. Это можно выяснить в поликлинике, сдав анализы.
Если женщина уже переболела токсоплазмозом, то микробы будут находиться в спящем (замороженном) состоянии, токсоплазма не попадет в кровь и не передастся эмбриону, ведь она заперта в цистах, не циркулирует по организму матери. В этом случае бояться нечего
Если токсоплазмоза не было в истории болезни, то будущей матери следует быть особо осторожной во время беременности. Нужно не только убедиться, что кошка здорова, но и хорошо прожаривать мясо, осторожно его разделывать, тщательно мыть овощи и фрукты, с землёй работать только в перчатках.

Подробную консультацию рекомендуем получить у специалиста.
Опасность инфекции для человека
Чаще всего поражение человека токсоплазмами происходит контактным или респираторным путем. Источником заражения обычно служат фекалии кошки. Причем это вовсе не предполагает непосредственного контакта с испражнениями.
Переносчиком паразита может стать любимый пес. Частицы грязи и фекалий прилипают к шерсти животного, к его лапам и морде. Таким простым способом токсоплазмы попадают в дом, на руки и лицо хозяина собаки.
После проникновения в организм человека паразит вторгается в кровеносную и лимфатическую системы, концентрируется в лимфоузлах. Паразиты активно размножаются, образуют «станции» в головном мозге, мышцах, жизненно важных органах, поражают глаза.
Первичные признаки поражения токсоплазмами очень похожи на симптомы простудного заболевания: кашель, насморк, покраснение глаз. Здоровый организм мобилизуется на борьбу с паразитом. В этот период можно с большой вероятностью диагностировать токсоплазмоз, потому что на «поле боя» выступают антитела. Наличие болезни проявляется их повышенным содержанием в крови.

Уничтожить токсоплазмы человеческому иммунитету не под силу, но есть способ изолировать их. Под воздействием антител паразит переходит в пассивное состояние – образует цисты. Поврежденные участки и небольшие очаги разрушения в органах и тканях «упаковываются» в фиброзные капсулы и кальцинируются.
К сожалению, довольно часто эти кальциевые «саркофаги» становятся угрозой нормальной работе мозга и центральной нервной системы. К тому же при повторном заражении цисты активируются, и развитие болезни идет по более печальному сценарию.
Особенно опасен токсоплазмоз для беременных и тех женщин, которые готовятся к зачатию. Паразит проникает через плаценту и поражает плод, вызывает врожденные уродства ребенка, внутриутробную смерть, выкидыши
Вот почему так важно следить за здоровьем любимцев семьи: инвазированные кошки и даже невинные котята могут представлять серьезную опасность для здоровья человека

Существуют статистические данные, согласно которым во время беременности токсоплазмозом заражается одна женщина из тысячи. Для того чтобы вовремя выявить заболевание, врачи рекомендуют делать анализы на токсоплазмоз. Возможности современной медицины позволяют определить не только наличие заболевания, но и время, которое прошло с момента инвазии. Это позволяет просчитать риски и эффективно лечить токсоплазмоз.
Несмотря на то, что болезнь опасна и коварна, держать ее под контролем все же возможно. Возбудитель и пути его проникновения в организм, этапы развития заболевания хорошо изучены. Достаточно соблюдать определенные меры профилактики токсоплазмоза и правила содержания домашних животных. А также по возможности следует исключить слишком тесный контакт с кошками: объятья, поцелуи.
Опрос месяца
Кто умнее кошки или собаки?
Poll Options are limited because JavaScript is disabled in your browser.
Мнение экспертов читайте здесь
Мне нравитсяНе нравится
На главную
Что такое токсоплазмоз
Токсоплазмоз — паразитарное заболевание человека и животных, вызываемое токсоплазмами. Источник инвазии — различные виды (свыше 300) домашних и диких млекопитающих (кошки, собаки, кролики, хищники, травоядные, грызуны) и птиц (около 60 видов).Токсоплазмоз распространенное инфекционное заболевание. Оно выявляется почти у 300 видов млекопитающих и, примерно, у 60 видов птиц. Человека оно тоже не щадит.

Токсоплазма — один из тех паразитов, которые могут через плаценту проникать в развивающийся плод, вызывая выкидыши, мертворождения, тяжелые врожденные уродства у младенцев. Часто беременной женщине врачи предлагают избавиться от кошки, чтобы предотвратить заражение и рождение ребенка с патологиями. Насколько оправданны эти опасения, действительно ли так велик риск заражения?
Представления о токсоплазмозе, о путях заражения и о роли животных в передаче этой инвазии часто ошибочны не только у обычных людей, но даже у специалистов — врачей и ветеринаров. Недостаток информации о токсоплазмозе приводит, как к недооценке вероятности заражения этим заболеваниям, так и к «токсоплазмозофобии», иногда выражающейся в паническом страхе перед контактами с домашними животными.
Токсоплазмоз у кошек. Кошка является окончательным (дефинитивным) хозяином паразита, так как только в тонком отделе ее кишечника может происходить половое размножение возбудителя токсоплазмоза. С калом возбудитель попадает во внешнюю среду и при благоприятных условиях длительное время (до 17 месяцев) сохраняет свою способность к инфицированию. Выводимые из кишечника кошек цисты токсоплазм попадают на землю и распространяются дальше с водой, ветром, колесами транспорта. С загрязненным землей кормом эти цисты попадают в организм других животных, в том числе сельскохозяйственных, мясо которых затем употребляют в пищу. Тем же путем токсоплазмозом заражаются грызуны — мыши и крысы.
Кошки заражаются токсоплазмозом двумя путями — поедая загрязненный цистами токсоплазм корм, а также зараженное токсоплазмозом мясо, мышей или крыс. В городских условиях основным источником загрязнения цистами токсоплазм являются бездомные и свободно гуляющие кошки. Домашние кошки, помимо мяса, заражаются токсоплазмозом через цисты, которые хозяева приносят домой с уличной пылью и грязью. В кишечнике кошек из цист или мяса выходят токсоплазмы. Часть этих токсоплазм поражает эпителиальные клетки слизистой оболочки тонкого отдела кишечника.

Паразиты размножаются внутри них и формируют цисты, выводимые наружу и служащие источником заражения для всех остальных животных, а также человека. Выделение цист после заражения начинается примерно через десять дней. Цисты токсоплазм, вышедшие из кишечника кошки, содержат токсоплазм, еще не способных заразить другие организмы. Внутри такой цисты токсоплазмы должны пройти определенное развитие, которое продолжается от одного до пяти дней. Только после такого «созревания» во внешней среде они становятся заразными для других животных и человека.
Часто можно прочитать, что токсоплазмоз у кошек и собак приводит к абортам, мертворождениям или рождению нежизнеспособного потомства. Это действительно возможно. Однако передача заражения через плаценту происходит только в период первой циркуляции токсоплазм по организму.
Иными словами, только если животное в первый раз заразилось токсоплазмозом незадолго до беременности или непосредственно во время нее, возможно трансплацентарное заражение плодов. При хронической латентной форме токсоплазмоза реакции иммунной системы не позволяют произойти такому заражению. Поэтому врожденный токсоплазмоз потомства у кошек и собак возникает только однократно.
Опасность токсоплазмоза для человека
К сожалению, у людей токсоплазмы особенно склонны поражать нервную систему и мозг. Возникающие в мозге очаги разрушения затем окружаются фиброзной капсулой и кальцинируются. В дальнейшем эти очаги могут стать причиной нарушения нормальной работы центральной нервной системы.
Для беременных женщин заражение токсоплазмозом опасно из-за того, что проникшие через плаценту к плоду токсоплазмы способны вызвать серьезные нарушения в его развитии. Наиболее тяжелые последствия заражения происходят в первый триместр беременности, но чаще всего это заканчивается выкидышем и редко — рождением ребенка со значительными нарушениями в развитии.
Часто беременной женщине врачи предлагают избавиться от кошки, чтобы предотвратить заражение и рождение ребенка с патологиями. Насколько это оправдано? Представления о токсоплазмозе и о роли животных в его передаче часто ошибочны не только у обычных людей, но даже у специалистов — врачей и ветеринаров. Неверная информация об этой инвазии зачастую приводит к «токсоплазмозофобии» — паническому страху перед домашними животными.

Токсоплазмоз у кошек. Токсоплазмозом можно заразиться, убирая кошачий туалет. Для того, чтобы токсоплазмы стали заразными, им необходимо созреть, на это требуется от одного до пяти дней! Поэтому нельзя заразиться токсоплазмозом, удаляя свежие фекалии кошки. Следует ежедневно убирать кошачий туалет, смывать с него следы фекалий, а затем мыть руки.
Сделаем выводы. Заразен ли токсоплазм для человека:
заразна любая заболевшая кошка. После заражения кошки токсоплазмозом выделение цист продолжается до трех недель, потом этот процесс прекращается. Поэтому источником заражения являются фекалии только тех кошек, которые заразились недавно.Кошка является заразной для человека в период подострых или острых проявлений токсоплазмоза.
Например, ухаживая за больным животным, можно вдохнуть токсоплазмы, которые выделились при чихании кошки (на воздухе они погибают в течение нескольких минут). Затем токсоплазмоз у кошки переходит в латентную хроническую стадию и может проявляться лишь в виде временного поноса. В этот период, продолжающийся пожизненно, токсоплазмы у кошки «заблокированы» внутри клеток, и никакие выделения животного их не содержат. Поэтому хронический токсоплазмоз кошки не заразен для хозяев.
- Но надо помнить, что кошка вновь становится на некоторое время заразной при каждом новом заражении(!), которое может произойти, если она получает сырое мясо или охотится на мышей или, гуляя, заражается через цисты других кошек;
страшнее кошки зверя нет. В период развития заболевания могут быть заразны и собаки. Токсоплазмы могут содержаться в их слюне. При облизывании собакой хозяина токсоплазмы через царапины или слизистую оболочку глаза, рта или носа проникают в организм человека. Во время ежедневных прогулок собака может подобрать что-нибудь с земли или, валяясь на земле, набрать цисты токсоплазм на шерсть.Потом эти цисты попадают в дом, а там через пыль или загрязненные поглаживанием собаки руки – в организм хозяина. Таким образом, собаки — более вероятный источник заражения токсоплазмозом для человека, чем кошки;
домашние животные – основная причина токсоплазмоза. Непосредственно от больного животного человек заражается редко. Основные источники заражения людей — загрязненная цистами земля, уличная пыль, а, главное, — мясо, не прошедшее достаточную термическую обработку. В этом отношении плохо прожаренный шашлык опаснее, чем домашняя кошка. Дети могут заразиться, играя в песочнице.
Профилактика токсоплазмоза
Защитить своего питомца от заражения можно, соблюдая ряд простых требований по гигиене.
- Не выпускать кошку на улицу.
- Если выпускаете — в 3-месячном возрасте проведите вакцинацию.
- Не позволяйте контактировать с другими животными (соседскими и пр.).
- Не приносите с улицы траву — лучше выращивайте самостоятельно.
- Убирайте свою уличную обувь.
- Периодически регулярно проводите дезинфекцию лотка и мисок.
- Регулярно делайте влажную уборку с использованием дезинфицирующих средств.
- Если кошка все же приучена к улице и часто выходит на прогулку — повесьте ей на шею колокольчик, чтобы она смогла отпугивать птиц и мышей, на которых охотится. Это убережет ее от поедания зараженных особей.
- Регулярно мойте ей лапки после посещения улицы. Полностью купать кошку можно не чаще раза в три месяца.
- Регулярно давайте витамины.
- Следите за сбалансированностью питания кошки.
Симптомы
У кошек заболевание может протекать как в роли основного, так и промежуточного хозяина.
В первом случае недуг затрагивает эпителий кишечника. Животное переносит токсоплазмоз в относительно легкой форме с нарушениями стула в виде поноса, или не имеет клинических проявлений.
Болезнь напрямую связана с состоятельностью иммунной системы, поэтому чем более она ослаблена, тем в более острой форме протекает токсоплазмоз.
Основные формы:
- Скрытая – не как не проявляет себя клинически, возможно небольшое увеличение лимфатических узлов.
- Подострая – вызывает незначительное повышение температуры, появление отделяемого из носа, похудение и кратковременный понос. По своим признакам недуг часто похож на легкую простуду.
- Острая – болезнь сопровождается лихорадкой, повышенным слюноотделением и гнойными выделениями из глаз. У кошки появляется одышка и частое покашливание. На ряду с этим происходит отказ от еды и анорексия.
Иногда токсоплазма может затрагивать нервную систему, чаще всего такая тяжелая форма протекает у котят, зараженных внутриутробно. У них на фоне недуга может развиваться энцефалит, детеныши очень вялые и анорексичные. Котята постоянно спят, возможно проявление парезов или дискординации. Часто регистрируют внезапную смерть зараженного потомства.
На вскрытии отмечается поражение печени и легких.
Если токсоплазмоз поражает животного с опасной вирусной инфекцией (вирусный лейкоз кошек, вирус иммунодефицита и прочее) заболевание протекает в крайне тяжелой форме и может приводить к смерти питомца.
Диагностика
Одним из первых методов диагностики является сбор анамнеза и клинические признаки. Токсоплазмоз подозревают у тех животных, у которых повышение температуры сопровождается кашлем, поносом и увеитом.
Характерны изменения в общем анализе крови – увеличение количества нейтрофилов и эозинофилов, анемия и лимфоциты. В биохимии отмечается повышение печеночных ферментов – АЛТ и АСТ, щелочной фосфотазы и биллирубин.
Для подтверждения изменений в легких и увеличения печени используют рентгенографию и ультразвуковую диагностику.
Кошка начинает распространять ооцисты с каловыми массами через 5 дней после инвазирования и выделяют во внешнюю среду в течение 1 или 2 недель. В этот период возможно проведение сбора кала на обнаружения форм паразита. Однако есть малая доля вероятности рассмотреть цисты под микроскопом из-за маленьких размеров (порядка 10* 12 мкм).
Обязательно проводится иммуносерологический анализ крови на обнаружение специфических антител. Для этого применяют специальные экспресс тесты или сравнение титров антител иммуноглобулинов M и G.
Также можно обнаружить паразитов напрямую, собирая на исследование цереброспинальную жидкость, бронхоальвеолярную слизь и ткани лимфатических узлов.
Самый быстрый способ — ПЦР-диагностика, которая позволяет определить наличие паразитов в ликворе, крови и околоплодных водах. Часто используется для профилактических анализов.
Лечение токсоплазмоза у кошек
Основная цель в лечение заболевания — это предотвратить рост и размножение токсоплазм. На сегодняшний день нет препаратов, способных полностью освободить организм животного от паразитов. Недосягаемыми для лекарств остаются брадзоиты, которые затихают в своих капсулах, тем самым самосохраняются. Кроме того простейшие вырабатывают все новые и новые штаммы, устойчивые к лекарственным средствам. Часто устойчивость вызывает неправильное использование лекарства ранее.На сегодняшний день нет препаратов, способных полностью освободить организм животного от паразитов
В лечении токсоплазма ветврачи используют следующие лекарственные средства:
- «Клиндамицин» в виде гидрохлорида и фосфата;
- «Спирамицин»;
- «Дараприм».
- «Пириметамин»;
- «Толтразурил».
Беременным животным противопоказаны многие препараты. В этот период жизни животного допустимо только использование «Спирамицина». Препарат «Пириметамин» является токсичным и оказывает негативное влияние на функцию костного мозга. Чтобы снизить риск от лекарства совместно с ним назначается фолиевая кислота.
Кроме того, чтобы поддержать и укрепить иммунитет животного обязательно назначаются следующие препараты:витамины группы В и С;фолиевая кислота;иммуномодуляторы («Гамавит», «Гала-вет» и др.).Дозировка и длительность приема назначается исключительно врачом, но в среднем продолжительность лечения составляет от месяца до трех.Для лечения токсоплазмоза ветврачи используют Клиндамицин
В этот период каждые две недели проводится серологический анализ для контроля уровня антител в крови. Если отрицательный результат анализы покажут два раза подряд, лечение системными препаратами прекращается, но терапия на этом не заканчивается. В обязательном порядке прописываются мочегонные и противовоспалительные средства.
Так как хроническая фаза часто переходит в острую, то раз в год необходимо проводить серологическое исследование крови больного животного.На время лечения инвазированное животное отселяется от других, его усиленно кормят. Помещение обеззараживается.
Даже своевременное лечение токсоплазмоза у кошек не дает стопроцентных результатов. Как правило, терапия направлена на устранение симптомов и перевод заболевания из острой в хроническую форму. Кошку, которой поставлен диагноз токсоплазмоз, необходимо ежегодно обследовать, чтобы убедиться в сохранении достаточного количества антител в крови.
Так как лечить токсоплазмоз у кошек приходится очень долго (от нескольких недель до года терапии), желательно обратиться к опытному ветеринару, а не ограничиваться посещением клиники «возле дома». На протяжении лечения необходимо контролировать состояние кошки, проводя дополнительные анализы. Прогноз благоприятный для здоровых взрослых животных и неутешительный для питомцев, чье здоровье подорвано хроническими недугами.
Как можно заразиться токсоплазмозом и когда это опасно
Конечно, общение с котом, который находится в острой форме заболевания, потенциально несет риски для хозяев. Но при соблюдении основных правил гигиены, вы сможете помочь своему питомцу, не нанеся вреда своему здоровью и здоровью других людей, проживающих в доме.
Факт №1. Ооцисты, выделяемые с кошачьим калом являются неинвазивными первые 5 суток с момента попадания во внешнюю среду. Это значит, что для возникновения реальной опасности необходимо не удирать в лотке минимум несколько дней, либо делать это голыми руками не соблюдая личную гигиену.
Факт №2. Выделение ооцист происходит только первые 14 дней с момента заражения и больше не повторяется, так как в организме здоровой кошки возникает иммунитет, который подавляет активность T. Gondii.
Факт №3. Кот, переболевший токсоплазмозом не несет опасности для окружающий.
Факт №4. Токсоплазмоз не передается от человека к человеку (за исключением пути передачи от матери к плоду во время беременности).
Факт №5. Для большинства здоровых людей факт контакта с токсоплазмой вовсе не означает развития заболевания. Крепкий иммунитет быстро нейтрализует паразита, но серологический тест на протяжении всей жизни будет показывать наличие антител. Серьезные проблемы, как правило, возникают у людей с очень низким иммунитетом (после тяжелых заболеваний) и болеющих СПИДом (не носителей, а именно старадющих этим недугом).
Таким образом, несложно понять, что вероятность заразиться паразитом от плохо прожаренного шашлыка или стейка с кровью у любителей такого типа блюд значительно выше, чем от домашнего кота.

Основная опасность токсоплазмы связана с первичным проникновением паразита в организм женщины в период беременности. Если иммунная система мамы еще не знакома с T. Gondii и не готова дать быстрый ответ, происходит инфицирование плода с такими серьезными последствиями, как:
- внутриутробная гибель плода;
- развитие серьезных дефектов (в том числе нарушения нервной системы);
- появление ребенка на свет с признаками острой фазы заболевания (температура, острое отравление организма, печеночная недостаточность).
Степень поражения плода и прогноз зависит от срока беременности, на котором произошло заражение.
Лечение токсоплазмоза у котов
К сожалению, рассматриваемая болезнь очень трудна в излечении. По словам специалистов полное излечение возможно только в первые дни после заражения. А так как мы выяснили, что определить болезнь быстро практически невозможно – ситуация становится довольно грустной.
Максимум, что возможно сделать – это привести животное к состоянию, когда оно не опасно для окружающих. Но об абсолютном выздоровлении речи не идет.
Болезнь так сложна в лечении из-за особенностей строения ее паразита (токсоплазма).

фото с сайта aroundcat.com
Курс лечения длится 1-3 месяца, в зависимости от степени запущенности болезни. Курс включает проверку на уровень антител в крови каждые 2 недели. После двух отрицательных результатов лечение может быть завершено. Помимо этого после окончания проводят терапию для предотвращения мочеиспускательных болезней.
Уже через сутки-другие после начала курса состояние животного значительно улучшиться. Но не спешите останавливаться на достигнутом. И обязательно завершите лечение.
Это важно
Во время курса лечения животное должно быть изолировано от других домашних питомцев. Дети не должны играть с зараженным котом. Беременным женщинам нежелательно контактировать с больным животным тоже.
При понижении иммунитета кошка снова может заболеть токсоплазмозом. Поэтому внимательный и заботливый хозяин время от времени (минимум раз в год) должен проверять в вет.лабораториях кровь питомца на уровень антител. Так он будет уверен в здоровье не только кота, но и своем собственном.
Профилактика токсоплазмоза у котов
Пока еще ученые-ветеринары не изобрели прививок от этой неприятной болезни.

фото с сайта moja-koshka.ru
Для того чтобы по возможности избежать заболевания вашего питомца постарайтесь соблюдать следующие правила.
- Исключите из рациона кота сырое мясо.
- Не допускайте общения с дворовыми и бездомными котами и другими животными.
- Каждый день меняйте кошачий лоток. Раз в 3 дня дезинфицируйте его 10% раствором аммиака
- Проводите регулярную тщательную уборку жилья.
- Не забывайте о дезинфекции кошачьей подстилки, миски и др. предметов по уходу за животным.
- Не разрешайте питомцу охотиться на птиц, а также мышей и крыс. Для этого можно повесить на ошейник кошки небольшой колокольчик, который своим шумом отпугнет добычу.
- По возможности уничтожьте грызунов вблизи жилья.








